
Arthritis Surgery
Arthritis can affect any joint in the body, including fingers, thumb, wrist, elbow, or shoulder.
Everyone is at risk of developing arthritis...
Arthritis Treatment
The Knees, Hands, and Hips Are Especially at Risk
Types of Arthritis
Osteoarthritis
The most common form of arthritis, osteoarthritis is caused by wear and tear on the cartilage and other structures of the joint. It's commonly associated with advanced age and repetitive stress injuries.Gout
Gout is caused by an excessive accumulation of uric acid crystals in a joint. While gout symptoms most often affect the big toe, uric acid crystals can also lead to problems with the elbows, wrists, and fingers.Rheumatoid Arthritis (RA)
Rheumatoid arthritis is an autoimmune disease, meaning that the body's own immune system starts attacking different joints. Rheumatoid arthritis symptoms are typically more serious than osteoarthritis.Psoriatic Arthritis (PsA)
Psoriatic arthritis is experienced by less than a third of people with psoriasis, a skin condition caused by an overactive immune system. This type of arthritis often affects a person's fingers and toes.Lupus
Lupus is an autoimmune condition that affects many internal organs as well as the joints. The inflammation can potentially affect the hands and fingers, in addition to other parts of the body.Do You Suffer from Arthritic Joints? Speak with Our Fellowship Trained Surgeons
If you suffer from arthritis, rest assured that you are not alone. Our experienced team of fellowship trained surgeons have helped countless people who suffer from osteoarthritis, rheumatoid arthritis, and other debilitating joint disorders.
Using the latest technology and surgical techniques, we can relieve joint pain and restore mobility and use to the shoulders, elbows, and hands. We always work to keep treatments affordable and as minimally invasive as possible.
To learn more about surgery for arthritis and other treatment options, contact the Hand to Shoulder Center online or call our office in Fort Worth at:
(817) 420-9238

"Made me feel very comfortable and at ease." Visit Our Five Star Surgery Center in Fort Worth
This office is state-of-the-art! I went in for an appointment and was pleasantly surprised how friendly the office staff was. After my appointment with a very knowledgeable physician, I learned I would need a simple surgery done to expedite my healing process. This surgery was quick and easy, and the fact that it was done in the same office building made me feel very comfortable and at ease.
View On GoogleExcellent care & professional medical service, my husband saved hundreds of dollars on surgical costs & anesthesia versus an outpatient surgical center! The location made it that much more convenient for us! Staff is friendly and knowledgeable.
View On GoogleThe Risk of Shoulder Osteoarthritis Should Not Be Discounted Either...

Will I Need Surgery?
/
Arthritis surgery is recommended when medication, lifestyle changes, physical therapy, and other less invasive procedures are ineffective. During your consultation or clinical appointment, we can review your circumstances and go over the risks and benefits of different surgery options.
Arthritis Surgery Options Treating Arthritic Joints

Arthroscopic Surgery
An arthroscope is a fiber optic camera that is inserted into a joint using a tiny incision. During arthroscopy, surgeons can make minor repairs to the cartilage, ligaments, and surrounding tissues, remove bone spurs and pieces of cartilage floating free from the joint (loose bodies).

Restoring the joint
When treating arthritic joints of the elbow, wrist, and hand "joint restoration" typically means removing bone spurs and other growths that affect the smooth movement of the joint. This treatment, which allows the surgeon to keep the original surfaces of the joint and remove any painful or limiting bone spurs and contracted, scarred soft tissues. In many cases these are minimally invasive procedures, often times facilitating a faster recovery.

Synovectomy
The synovial membrane is a connective tissue that lines the joints. When the synovium becomes inflamed, a synovectomy is performed to remove some or all of the affected tissue. The surgery can be performed arthroscopically to minimize scarring, and is often a preferred procedure for the elbow joint. This can be an excellent option for pain relief, especially with rheumatoid arthritis or other inflammatory arthritis.

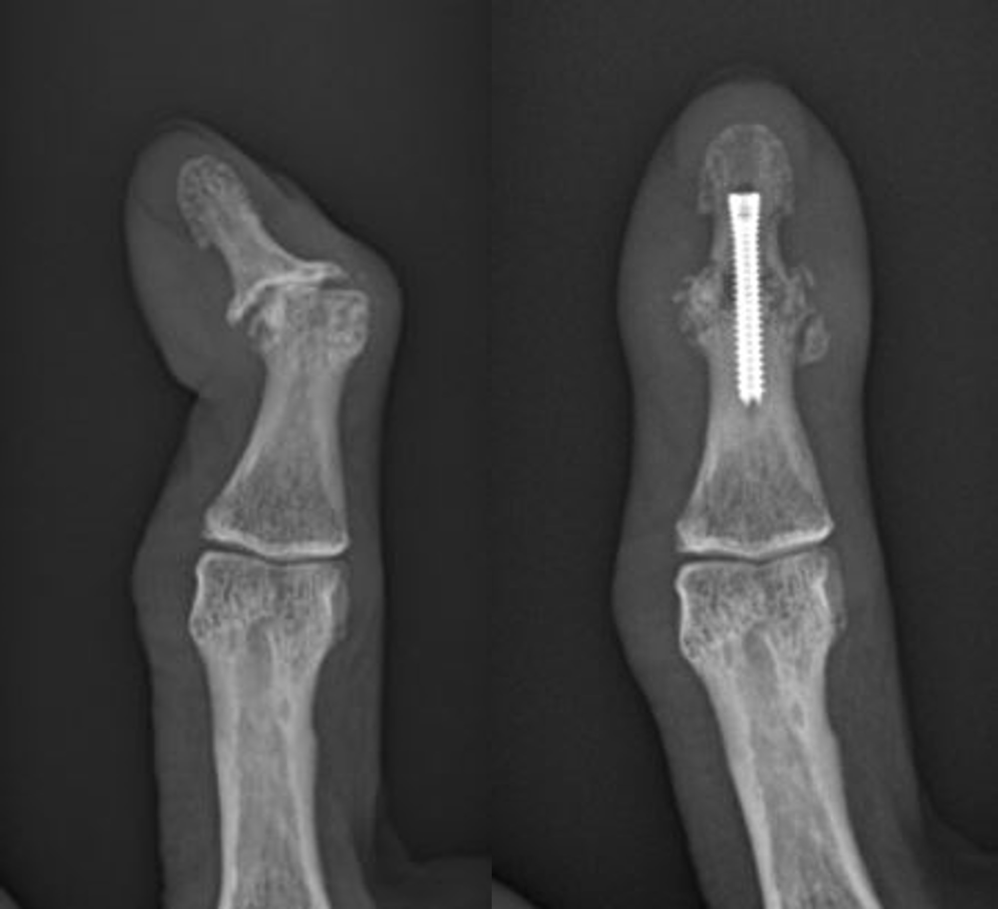
Joint Fusion
Also known as arthrodesis, joint fusion surgery uses pins, rods, or plates to join bones. This creates a single bone, dramatically reducing pain and other symptoms. Joint fusion surgery can be performed on severely arthritic joints of the fingers.
Anatomic Shoulder Replacement
Anatomic Shoulder Replacement replaces part of the joint with safe, biocompatible materials that ensure smooth, continuous movement. Anatomic Replacement is named because the humeral head, or ball, is replaced with a ball. The glenoid, or socket, is replaced with a socket shaped prosthesis. In this replacement, like replaces like.
Reverse Shoulder Replacement
Your surgeon may recommend a reverse shoulder replacement. This surgery utilizes a joint implant device that alters the natural movement of the shoulder joint, restoring function and relieving symptoms. This type of replacement may be useful in severe rotator cuff disease, some complex fractures of the shoulder, as well as some arthritis patterns where to glenoid, or socket, will not accommodate a traditional socket replacement.
Reverse shoulder replacement reverses the anatomy, and the ball is replaced with a socket, likewise; the socket is replaced with a ball (glenosphere).
Convenient and Cost-Effective Surgery A Hand to Shoulder Center Patient Shares Her Story
"All employees at the Hand to Shoulder Center have been very professional and caring throughout my treatments. Dr. Guevara recently performed an arthroscopic elbow surgery for me which was very successful & I had very little down time. He has a friendly, easygoing rapport while explaining all procedures in a way patients can understand.
"I have had multiple visits and surgeries with Dr. Tobias in the past, most recently, a complicated partial wrist fusion. He took time to explain the procedure in detail and helped put my mind at ease prior to the surgery. He went the extra mile, as he always does, to assure the best possible outcome...
"It is also great to have Fort Worth Physical Therapy downstairs in the building, saving patients valuable time as they can now have those type needs met on location."
— Deb Hanson - 5 Star Review - Google
How We Keep Surgery Affordable
In-House
Care
Whenever possible, we perform surgeries in-office at the Hand to Shoulder Center. This allows patients to get the treatment they need under light sedation and without any outside facility costs.
Ambulatory
Surgery Centers
For more involved arthritis surgeries, our surgeons use ambulatory surgery centers in the greater Fort Worth area. These allow us to avoid hospital costs, which saves patients a lot of money.
Financing
Options
CareCredit® financing helps put arthritis surgery within reach for more patients. Their reasonable payment plans divide the total cost of care into affordable monthly installments that fit within your budget.




